症例

症例紹介

治療方法
お悩み

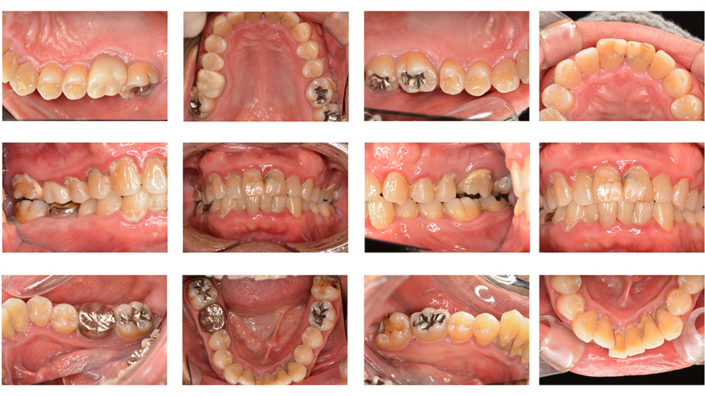
術前

術後

世代・性別
20代女性
主訴
歯ブラシで歯茎から血が出るので見てほしい
治療内容
ブラッシング指導、虫歯治療、歯周基本治療、智歯抜歯
治療期間
6ヶ月
治療費
保険適応内
治療のリスク
治療後にしみる・痛みが出ることがある

術前

術後

世代・性別
40代女性
主訴
歯が揺れている気がするので見てほしい
治療内容
ブラッシング指導、歯周基本治療
治療期間
4ヶ月
治療費
保険適応内
治療のリスク
一時的に歯ぐきからの出血や痛み、歯のしみ(知覚過敏)が起こることがある

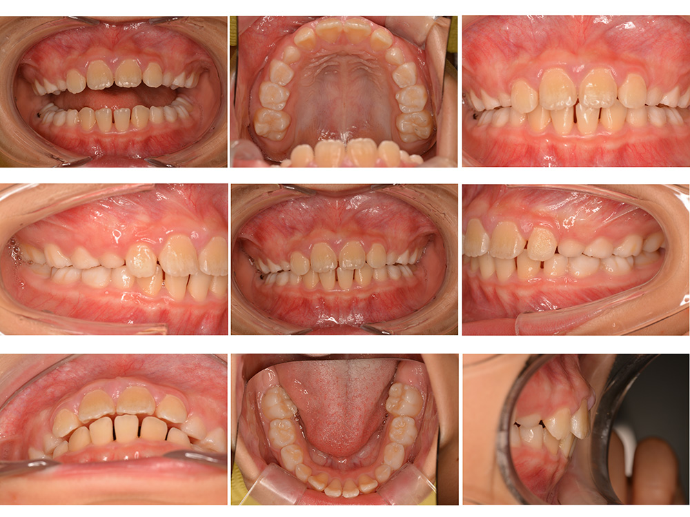
術前

術後

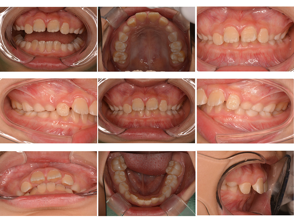
世代・性別
10歳女性
主訴
前歯が出ているのを治したい
治療内容
筋機能矯正治療(治療途中)
治療期間
4ヶ月
治療費
27万円(税別)
治療のリスク
歯の移動に伴う痛み

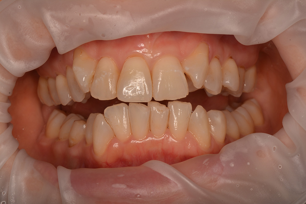
術前

術後

世代・性別
40代女性
主訴
歯を白くしたい
治療内容
オフィスホワイトニング+CAPシステム
治療期間
1ヶ月
治療費
50,000円(税別)
治療のリスク
知覚過敏症状

術前

術後

世代・性別
20代男性
主訴
歯がしみる時がある
治療内容
ダイレクトボンディング
治療期間
1回
治療費
48,000円(税込)
治療のリスク
経年により、変色やツヤの低下が生じることがあります

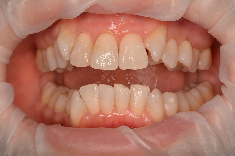
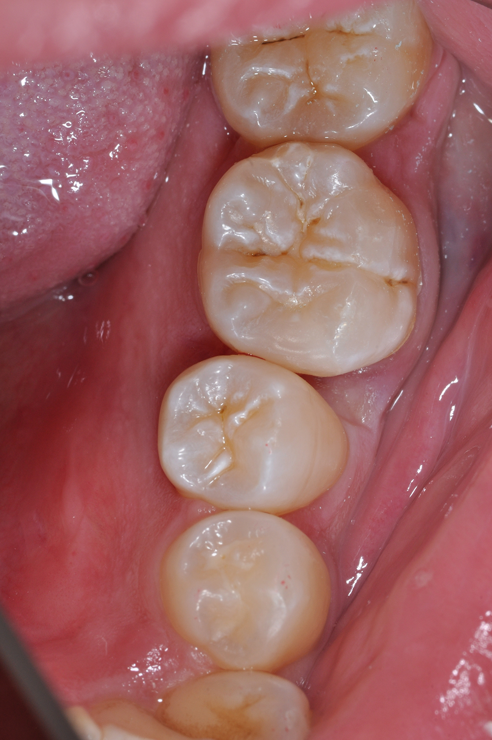
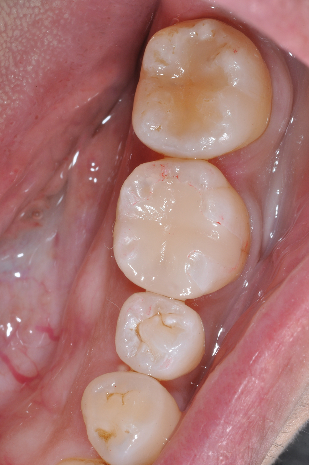
術前

術後

世代・性別
30代女性
主訴
歯がしみる時がある
治療内容
セラミックインレー
治療期間
2回
治療費
66,000円(税込)
治療のリスク
強い咬合力や衝撃によって、欠けたり割れたりすることがある

術前

術後

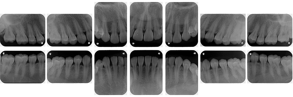
世代・性別
40代女性
主訴
ずっと痛い、噛むと特に痛い、前医でもうこれ以上はできないと言われた
治療内容
根管治療
治療期間
2ヶ月
治療費
保険適応内
治療のリスク
治療中または治療後に、一時的な痛みや腫れが生じることがある

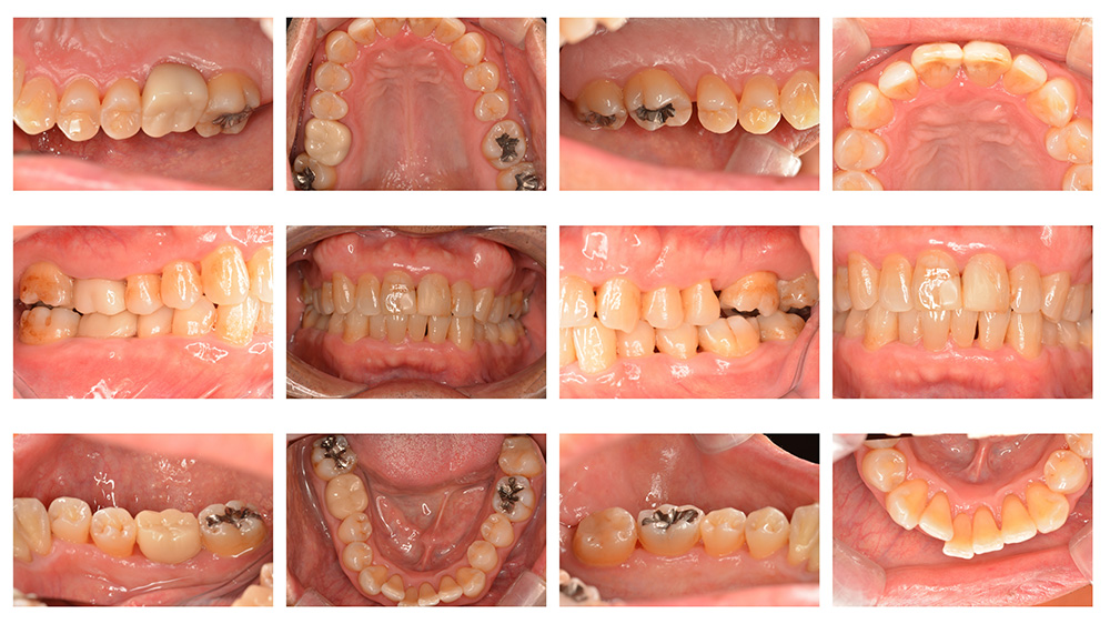
術前

術後

世代・性別
60代男性
主訴
歯ブラシで出血するので見てほしい
治療内容
ブラッシング指導、歯周基本治療、虫歯治療、根管治療、補綴治療
治療期間
6ヶ月
治療費
保険適応内
治療のリスク
治療後にしみる・痛みが出ることがある
お問い合わせ
当医院は完全予約制です(急患は随時対応します)。
年中無休で診察しています。
医院名
テラスモール松戸プランス歯科
住所
〒270-0023 千葉県松戸市八ヶ崎2-8-1 2F
TEL
047-700-5185
time table              

(年中無休)
駐車場完備(テラスモール松戸の駐車場)
JR新松戸駅から車で約10分
松戸新京成バス「テラスモール松戸北口」バス停留所前